Get rid of snoring by Dr Vukoje method

Having done numerous surgical operations on palate and uvula, and with an aim to avoid velopharyngeal insufficiency and improve functional results of earlier techniques, I have developed new technique: arco-palato-uvular flap (APUF). This kind of surgical intervention is improvement in previously used uvulopalatinal flap(1). The method is less invasive with possibility for subsequent correction. Preliminary results of such surgical intervention have been reported at the symposium devoted to loud snoring (Belgrade, 2004, 13th congress of Balcan Military Medical Committee, Kusadasi, Turkey, June 2008). At the meeting, the method was accepted as an exceptional innovation.

This kind of surgical intervention, done in general anesthesia, is effective. Consolidation and stabilization of rear palatal arch, free and lowered edge of soft palate and uvula, and simultaneous enlarging of oropharyngal airway represent the goal of such intervention. Final appearance of this intervention resembles the one obtained by uvulopalatopharyngoplastics, except that uvula, palate arches and free palate edge are not excluded but incorporated in local region in the shape of flap.

Local finding in the throat that represents optimal conditions for arco-palato-uvular flap application. Rear palate arches are wide and, rugged, palate thinned, downcast, uvula short, tonsils earlier excluded


Uvula’s length is reduced in width and thickness, and shaped according to the need that is requested by flap.Mucous membrane of free edge of posterior pillars and soft palate are made vulnerableTissue of rear palate arches, approximately 0,5cm in  length is being cut by horizontal incision (above tongue basis.

Aim of the work:

to present innovative surgical method by Dr. Vukoje to solve uvulopalato-lateral obstruction

to stabilize uvulopalatale segment which has predispositionto

collapse during the sleep,without relapse of the illnessto

expand pharyngeal airway to give better result than other surgical procedures

to avoid complications

Conditions for intervention:

tonsillectomy performed earlier (in childhood)

wide and loosened soft palate

anatomical characteristics of uvula are non-important

exposed, broad and fluffy pillars and palatal arches with predisposition to collapse during sleep

normal body weight

Local finding in the throat that represents optimal conditions for arco-palato-uvular flap application Rear palate arches are wide and, rugged, palate thinned, downcast, uvula short, tonsils earlier excluded

Criteria for surgical treatment: dr Vukoje Method


patients under the age 18 and more than 70 years are excluded  RDI90%

body weight index less than 30 kg/m2

loud and abrupt snore

uvulopalatal flutter snoring and mild obstruction


Positioned away 0.5cm from free edge, incision is made at the mucous membrane of the posterior pillars and soft palateIncision starts above the tongue basis, runs vertically and follows free edge of soft palate, and finally joins the same incision that started from the other side of the arch

Arco-palato-uvular flap is being formed and bended lateral and towards hard palate, and fixed by adequate number of stitches (VicrylTM, Johnson & Johnson Ethicon, 4-0 sutures


Patiens and methods

Twentyseven patients had socially bothersome snoring and 9 patients had mild sleep apnea (apnea/hipopnea index (AHI)less than 15,SO2 >90%) with the primary level of obstruction within the upper pharyngeal region as determined using whole night recordings, including airway pressure fluctuacion monitoring(Apnea Graph MRA Medical-Euro Sleep Center Belgrade). The patients were selected on the basis of history, physical examination, partner rating of snoring using a visual analogue scale (VAS) and Epworth Sleepness scale. Clinical outcome included the Epworth Sleepness scale (ESS) and VAS in all patients after healing, and control Apnea Graph in 9 cases with mild apnea.

Twentyseven non-apneic snorers did not repeat Apnea Graph. A VAS scale (amount of snoring noise during sleep) that was used, required the subject, along with his or her bed partner, to assess snoring levels.The pretreatment scale was compared with the final posttreatment scale.The scale ranged from 0(no snoring noise) to 10(extreme noise - bed partner leaves the room). Post-operative snoring loudness was documented for 1-2 years period.

All patients were asked to complete the Epworth Sleepness Scale and VAS to obtain information regarding “devastating noise”. During the follow-up period the patients were seen by the surgeon after one, six and twelve weeks. All patients had body mass index (BMI) less than 30. None of the patients had previous surgery for snoring.

Surgical Procedure

The entire time, Sugitron unit was set on a combination program of cut and coagulation at a medium power level. A snarewire active electrode was used as a knife. All procedures were performed under general anesthesia.On average the entire procedure took approximately 30 minutes. All patients were discharged the day after surgery with an analgesic regime.

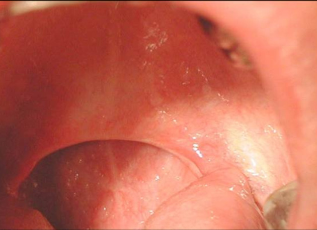
Clearly visible enforced and fatten free edge of palate and arches. Uvula is incorporated in the flap. Oropharyngeal way is enlarged.Advantage of this operative technique over the ither classical techniques lies in the fact that we can achieve satisfactory position and configuration of soft palate in relation to the lateral and posterior wal of the pharynx and in relation to the base of the tongue. This method reinforces free edge of soft palate and posterior pillars, enlarges retropalatal airway and reduces palatinal collapse.

Results recieved upon anamnestic and heteroanamnestic data, as well as VAS (one to two years after operation), showed that snoring has ceased in 72,2% of cases (26 patients) and in 19,4% of cases (7 patients) diminished to an acceptable level. All patients have reported improvement in VAS score for snoring. +

Preoperatively, clinical assessment scores were as follows VAS (8,6-+1,0), ESS (l0,0-+3,0) postoperatively VAS (2,3+-1,5) ESS (4,0+-1,). Snoring was without improvement in 2 patients (8,4%) In patients with mild apnea AHI before surgery was (11,58 +-3,58) after surgery AHI (4,75+-2,92). Statistical analysis revealed significant reduction for all variables(P < 0001). In no case did we observe any evidence of postoperative scarring, fibrosis, or any other clinically significant side effect. One patient complained of a mild degree of mouth dryness and two reported a globus sensation.

Discussion

Various surgical procedures such as uvulopalatopexy , pillar palatal implant, soft palate radiofrequency, cautery-assisted palatal stiffening operations, injection snoreplasty, laser assisted uvuloplasty, uvulopalatal flap, uvulopalatoplasty, uvulopalatopharyngoplasty have been described for the treatment of primary palatal snoring (5,6,7,8,11,17).Choice of surgical technique is not always simple,due to numerous advantages and disadvantages of each method.Which method and technique will be given preference is something that depends on number of factors,the most important being the place of primary obstruction.

APUF as a new treatment method for primary palatal snoring and mild Sleep Apnea has been developed by Serbian ENT surgeon Novak Vukoje.It is especially suitable for patients in the group with increased persistent obstructive problems in whom tonsillectomy has been performed earlier,and in the group with broad and fluffy pillars and palatal arches.Additionaly this method results in an important remaining increased transversal oropharyngeal diameter,statistically shown to be of great importance regarding this disease(16).

APUF is introduced to avoid complications that are consequences of earlier surgical techniques (4, 9, 12) on velopharyngeal ring, to widen oropharyngeal airway, stabilize free edge of palate and arches and improve functional results.This surgical technique is much more subtle regarding the function of soft palate mucociliary apparatus,which in turn eliminates one frequent postoperative complication-dry mouth syndrome.

Previously described anatomic-clinical surgical methods done at the uvulopalatinal segment show that success rate of surgical therapy, up to now, has been achieved in less that 70 per cent of cases(3,10), Also, several years after the successful procedures results tend to rapidly deteriorate (3,4).Surgery is one option,particularly the uvulopalatopharyngoplasty(UPPP) and laser-assisted uvuloplasty (LAUP) which reduces the pharyngeal tissue volumene and increases palatal stiffness through postoperative scarring. The complications as mucosal breakdown,palatal swellin,,velopharyngeal insufficiency are registered.

These complications no noted with APUF.Recently developments have resulted in more targeted procedures to stiffen the palate and cause less surgical trauma for patients.These procedures include radiofrequency and injection sclerotherapy of the palate .However,these regimens require more than one treatment for optimal palatal stiffening and can cause mucosal breakdown and fistulas. After tonsillectomy the posterior pillars and palatal muscle stratum become insufficiency, the stiffening method and palate sclerosation is, in thinned and atrophy soft palate and arches, contraindicated. Insertion method of palatal implants could not be applied because it requires strict indications for application (5, 6) - hypertrophy of soft palate and short uvula that in those cases did not exist.

Scretches that lifts velum and blocks its vibrations can be of help, but are unpleasant for use. Sprays that are used to stiffen palato-uvular complex and eliminate snore are not reliable, and their effectivness is limited only to relatively short period. If tolerated by patients, CPAP attains excellent results, but its effect is symptomatic. When used, success is obvious, as soon as it is out of work, the snore returns to be the same problem as before the treatment.

Long term stable results of APUF and higher percentage of success are achieved comparing to other surgical interventions on that segment (3, 7, 8) Method does not need to compromise CPAP usage and maximum pressure that patient can tolerate. On the other hand, one of the UPPP complications is nasopharyngeal stenosis (4, 9, 12) which compromise use of CPAP.

The difference in final outlook between UPPP and APUF surgical method


The difference in final outlook between UPPP and APUF surgical method that solves uvulo-palatinal segment's obstruction is clearly visible. UPPP achieved free palate edge will get thinner and loosed with years to come, due to the slow atrophy thus inclining to the low frequency vibrations and collaps during the sleep(4). UPPP is more risky, its post-operative process is harder, apnea and ronchopathy recidives are much more frequent.

Advantage of UPPP lies in its wider indicative region than of the APUF. Both interventions widen airway and are in need of total anasthesia. Comparing scope of work between UPPP and APUF we see that UPPP does not depend on anatomical structure of throat and it reduces free palate edge and removes uvula and tonsils (11,14,). Arco-palato-uvular flap requests strict indications. If these indicatios are respected, success can be expected.Several years of follow up results have proven the APUF to be a well tolerated,efficient and recomendable for the defined target group.

Conclusions

Method requires precise identification of an occlusion spot and proper selection of patients

Method represents ideal surgical option in treatment of palatal snoring and mild obstructive apnea

Method has possibility to be repeated.

Final results of appearance are the same as by the UPPP. If velopharyngeal insufficiency appear, possibility of revision always exists: flap is to be loosened and adjusted to the proper level

Complications are practically unknown

Disadvantage: limited indications

Thus, this new surgical procedure should be verified and incorporated amongst methods for eradication of palatal snoring in properly selected patients. I hope that further investigations will assess its effectiveness and safety.

Specijalistička ordinacija za bolesti uva, nosa i grla "DR VUKOJE "

@Copyright prim dr Novak Vukoje. All right reserved. Created by ProBiz